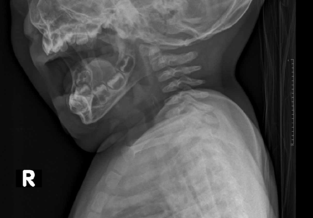
La publicación original se publicó en el perfil Caduceus EM & Critical Care FOAM en Facebook. Una madre acudió al servicio de urgencias del hospital con una niña de 9 meses que se tragó una pequeña pegatina.
La niña se tragó una pequeña pegatina.
La niña se negó a beber porque estaba vomitando. Una investigación inicial no reveló nada, luego se detectó la calcomanía.
La niña se agita, vomita, babea y se niega a beber. Se hizo una radiografía y no mostró nada. La endoscopia reveló un cuerpo extraño: leemos en el perfil.
La obstrucción de las vías respiratorias por cuerpos extraños es muy frecuente. Los niños pequeños, incluso si están cuidadosamente protegidos, pueden tragarse juguetes pequeños o partes de varios dispositivos. La mayoría de los casos se pueden tratar fácilmente sin intervención médica. Sin embargo, debe actuar con rapidez y eficacia. El perfil «Rescate médico: compartimos un interés común» tiene algunos consejos sobre cómo hacer frente a una emergencia.
Las víctimas son inicialmente conscientes y reactivas, por lo que existen condiciones para una acción temprana que puede salvar la vida de la víctima. (…) Cada año, la aspiración de cuerpo extraño provoca unas 3.000 muertes, de las cuales el 90 por ciento corresponden a niños menores de 4 años. En bebés menores de 6 meses, la razón más común se llama ayuda del hermano para alimentar a su bebé, leemos.
Los síntomas clínicos varían. Los más comunes son: sibilancias, sibilancias, neumonía recurrente, laringitis, tos o sibilancias. En muchos casos, los padres no pueden ver que se traga un cuerpo extraño o que se atraganta con la comida, por lo que es importante no ignorar los síntomas.
A un niño que se atraganta con algo se le debe animar a toser. Si la condición del niño empeora, debe llamar a una ambulancia. Cuando el niño esté consciente, 5 golpes en la zona interescapular / 5 golpes en el pecho por niño y 5 golpes en la zona interescapular / 5 presiones en el abdomen por niño.
Si el niño está inconsciente, abra las vías respiratorias, intente 5 respiraciones de rescate y comience el soporte vital básico. No repita los intentos de eliminar el cuerpo extraño con el dedo, no lo elimine «a ciegas», leemos.
Ver también: «Arreglos inequívocos». Fuertes denuncias sobre el terreno del Viceministro
Califique la calidad de nuestro artículo:
Tus comentarios nos ayudan a crear mejor contenido.

«Fanático de la televisión. Adicto a la web. Evangelista de viajes. Aspirante a emprendedor. Explorador aficionado. Escritor».

More Stories
El paraíso español está lleno de turistas. Los lugareños bloquean las playas
El Ejército llevará a cabo la Operación Phoenix. Cinco puntos clave
Cuba Terramar. El SUV de combustión español ya tiene precios polacos